Skip to main content
ا.د/علاء عطيه: جودة خدماتها وتخصصاتها الطبية الدقيقة سبب سمعة مستشفيات جامعة أسيوط الطيبة ا.د/…
  التاريخ : ٣٠ أبريل ٢٠٢٢م المصدر: المركز الإعلامي لمستشفيات جامعة أسيوط تمكن فريق طبي بمستشفى…
التاريخ: ٨ أبريل ٢٠٢٢ المصدر: المركز الإعلامي لمستشفيات جامعة أسيوط أعلن مستشفى صحة المرأة عن…
  انطلقت فعاليات اليوم العلمي الثالث لوحدة السلس البولي والسقوط الرحمي بمستشفى صحة المرأة الجامعي…
التاريخ: الاثنين٢١ مارس ٢٠٢٢م المصدر: المركز الإعلامي للمستشفيات الجامعية عقد قسم أمراض النساء…
  انطلقت فعاليات الدورة التدريبية والتي تنظمها وحدة أورام النساء بمستشفى صحة المرأة الجامعي…
في إطار تعزيز سبل التعاون المشترك بين جامعة أسيوط برئاسة الأستاذ الدكتور طارق الجمال والدكتور محمد…
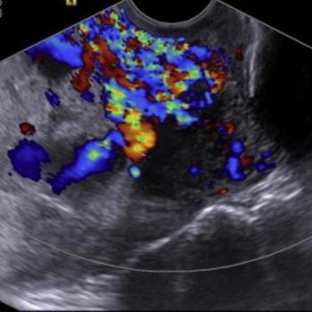
تنظم مستشفى صحة المرأة الجامعي اليوم العلمي الرابع للمشيمة الملتصقة، وذلك يوم الأحد ٦ مارس الجاري…
نظمت وحدة الاخصاب المساعد والحقن المجهري بمستشفى صحة المرأة الجامعي اليوم العلمي الرابع، والذي…
تعقد غدا وحدة الاخصاب المساعد والحقن المجهري بمستشفى صحة المرأة الجامعي اليوم العلمي الرابع، والذي…
أعلنت مستشفى صحة المرأة بجامعة أسيوط، تنفيذها لقرار علاج على نفقة الدولة، يأتي ذلك في إطار حرص…
تقدم مستشفى صحة المرأة العديد من الخدمات المميزة للمرضى ، بدعم ورعاية الأستاذ الدكتور طارق الجمال…